二、肺炎《病理学》

二、肺炎

肺炎(pneumonia)通常是指肺的急性渗出性炎症,为呼吸系统的多发病、常见病。据世界卫生组织调查,肺炎死亡率占呼吸系统急性感染死亡率的75%。在我国,各种致死病因中,肺炎占第5位。肺炎可由不同的致病因子引起,根据病因可将肺炎分为感染性(如细菌性、病毒性、支原体性、真菌性和寄生虫性)肺炎,理化性(如放谢性、吸入性的类脂性)肺炎以及变态反应性(如过敏性和风湿性)肺炎。由于致病因子和机体反应性的不同,炎症发生的部位、累及范围和病变性质也往往不同。炎症发生于肺泡内者称肺泡性肺炎(大多数肺炎为肺泡性),累及肺间质者称间质性肺炎。病变范围以肺小叶为单位者称小叶性肺炎,累及肺段者称节段性肺炎,波及整个或多个大叶者称大叶性肺炎。按病变性质可分为浆液性、纤维素性、化脓性、出血性、干酪性、肉芽肿性或机化性肺炎等不同类型。

(一)细菌性肺炎

1.大叶性肺炎 大叶性肺炎(lobar pneumonia)主要是由肺炎链球菌感染引起,病变起始于肺泡,并迅速扩展至整个或多个大叶的肺的纤维素性炎。多见于青壮年,临床表现为骤然起病、寒战高烧、胸痛咳嗽、吐铁锈色痰、呼吸困难,并有肺实变体征及白细胞增高等。大约经5~10天,体温下降,症状消退。

【病因和发病机制】

95%以上的大叶性肺炎由肺炎链球菌引起,尤以Ⅲ型者毒力最强。此外,肺炎杆菌、金黄色葡萄球菌、溶血性链球菌、流感嗜血杆菌也可引起。受寒、疲劳、醉酒、感冒、麻醉、糖尿病、肝、肾疾病等均可为肺炎的诱因。此时,呼吸道的防御功能被削弱,机体抵抗力降低,易发生细菌感染。细菌侵入肺泡后在其中繁殖,特别是形成的浆液性渗出物又有利于细菌繁殖,并使细菌通过肺泡间孔或呼吸细支气管迅速向邻近肺组织蔓延,从而波及整个大叶,在大叶之间的蔓延则系带菌渗出液经叶支气管播散所致。

【病理变化】

病变一般发生在单侧肺,多见于左肺下叶,也可同时或先后发生于两个以上肺叶。病变基本特征是肺的微循环障碍。由于毛细血管通透性增高,大量纤维蛋白原渗出于肺泡,使肺组织大面积广泛实变。病变早期,肺叶充血、水肿,肺泡腔内有大量浆液性渗出物,混有少数红细胞、中性粒细胞和巨噬细胞,并含有大量细菌。1~2天后,即有大量纤维蛋白原渗出,肺泡腔内充满混有红细胞、中性粒细胞、巨噬细胞的纤维素性渗出物,纤维素丝可穿过肺泡间孔与相邻肺泡中的纤维素网相连(图9-15)。病变肺叶质实如肝,明显肿胀,重量增加,呈灰白色(图9-16)。如血管损伤较重、出血较多,外观可呈红色。大约经5~10天,炎症消退,细菌被吞噬细胞吞噬清除,渗出物被溶解,或经淋巴管吸收或被咳出。大叶性肺炎时,肺组织常无坏死,肺泡壁结构也未遭破坏,愈复后,肺组织可完全恢复其正常结构和功能。

大叶性肺炎

图9-15 大叶性肺炎

肺泡腔内充满纤维素性渗出物,纤维素丝穿过肺泡间孔,使相邻肺泡内的纤维素网互相连接

大叶性肺炎

图9-16 大叶性肺炎

左下叶实变,呈灰白色,肺叶明显肿胀

【合并症】

(1)肺肉质变:因吞噬细胞数量少或功能缺陷,渗出物不能被完全吸收清除时,则由肉芽组织予以机化(图9-17),病变部位肺组织变成褐色肉样纤维组织,称肉质变(carnification)。

肺肉质变

图9-17 肺肉质变

肺泡腔内炎性渗出物已被结缔组织所替代

(2)肺脓肿及脓胸或脓气胸:多见于由金黄色葡萄球菌引起的肺炎。

(3)纤维素性胸膜炎:是肺内炎症直接侵犯胸膜的结果。

(4)败血症或脓毒败血症:见于严重感染时,细菌侵入血流繁殖所致。

(5)感染性休克:严重的肺炎链球菌或金黄色葡萄球菌感染引起严重的毒血症时可发生休克,称休克型或中毒性肺炎,病死率较高。

【临床病理联系】

疾病发展过程中病变表现不一,临床体征也不相同。疾病早期时,主要病变是肺泡腔内浆液渗出,听诊可闻湿啰音,X线检查仅见肺纹理增深。肺实变时,由于肺泡膜面积减少,可出现肺泡通气和血流比例失调而影响换气功能,使肺静脉血不能充分氧合,患者乃出现紫绀或呼吸困难。渗出物中红细胞为肺泡巨噬细胞吞噬,崩解后形成含铁血黄素混入痰中,使痰呈铁锈色。痰中可检出“心衰细胞”。肺实变的体征是,肺泡呼吸音减弱或消失,出现支气管呼吸音,语音震颤增强,叩诊呈浊音。因常并发纤维素性胸膜炎,患者有胸痛,听诊可闻胸膜摩擦音。X线检查,可见大叶性或段性分布的均匀性密度增高阴影。病变消散时,渗出物溶解液化,肺部可闻及捻发音,X线表现为散在不均匀片状阴影,约在2~3周后阴影方完全消散。抗生素治疗,可缩短病程,减轻病变,合并症也大为减少。

2.小叶性肺炎 小叶性肺炎(lobular pneumonia)主要由化脓菌感染引起,病变起始于细支气管,并向周围或末梢肺组织发展,形成以肺小叶为单位、呈灶状散布的肺化脓性炎。因其病变以支气管为中心故又称支气管肺炎(bronchopneumonia)。主要发生于小儿和年老体弱者。

【病因和发病机制】

小叶性肺炎主要由细菌感染引起,常见的致病菌有葡萄球菌、链球菌、肺炎球菌、流感嗜血杆菌、绿脓杆菌和大肠杆菌等。这些细菌通常是口腔或上呼吸道内致病力较弱的常驻寄生菌,往往在某些诱因影响下,如患传染病、营养不良、恶病质、慢性心力衰竭、昏迷、麻醉、手术后等,使机体抵抗力下降,呼吸系统的防御功能受损,细菌得以入侵、繁殖,发挥致病作用,引起支气管肺炎。因此,支气管肺炎常是某些疾病的并发症,如所谓麻疹后肺炎、手术后肺炎、吸入性肺炎、坠积性肺炎等等。

【病理变化】

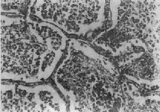
小叶性肺炎的病变特征是肺组织内散布一些以细支气管为中心的化脓性炎症病灶。常散布于两肺各叶,尤以背侧和下叶病灶较多。病灶大小不等,直径多在1cm左右(相当于肺小叶范围),形状不规则,色暗红或带黄色(图9-18)。严重者,病灶互相融合甚或累及全叶,形成融合性支气管肺炎(confluent bronchopneumonia)。镜下,病灶中支气管、细支气及其周围的肺泡腔内流满脓性渗出物,纤维蛋白一般较少(图9-19)。病灶周围肺组织充血,可有浆液渗出、肺泡过度扩张等变化。由于病变发展阶段的不同,各病灶的病变表现和严重程度亦不一致。有些病灶完全化脓,支气管和肺组织遭破坏,而另一些病灶内则可仅见浆液性渗出,有的还停留于细支气管及其周围炎阶段。

支气管肺炎

图9-18 支气管肺炎

图中大小不等的不规则形区域即实变的支气管肺炎病灶

支气管肺炎

图9-19 支气管肺炎

图中见灶状实变的肺组织,肺泡内充满以中性粒细胞为主的炎性渗出物;病灶中有发炎的细支气管

【并发症】

小叶性肺炎发生并发症的危险性比大叶性肺炎大得多。可并发心力衰竭、呼吸衰竭、脓毒败血症、肺脓肿及脓胸等。支气管破坏较重且病程较长者,可导致支气管扩张。

【临床病理联系】

因小叶性肺炎多为其他疾病的并发症,其临床症状常为原发性疾病所掩盖。由于支气管粘膜的炎症刺激而引起咳嗽,痰呈粘液脓性。因病变常呈灶性散布,肺实变体征一般不明显。病变区细支管和肺泡内含有渗出物,听诊可闻湿啰音。X线检查,可见肺野内散在不规则小片状或斑点状模糊阴影。本病发现及时,治疗得当,肺内渗出物可完全吸收而痊愈。但在幼儿,年老体弱者,特别是并发于其他严重疾病时,预后大多不良。

(二)病毒性肺炎

病毒性肺炎(viral pneumonia)常常是因上呼吸道病毒感染向下蔓延所致。患者多为儿童,症状轻、重不等,但婴幼儿和老年患者病情较重。一般多为散发,偶可酿成流行。引起肺炎的病毒种类较多,常见的是流感病毒、还有呼吸道合胞病毒、腺病毒、副流感病毒、麻疹病毒、巨细胞病毒等等,也可由一种以上病毒混合感染并可继发细菌感染。病毒性肺炎的病情、病变类型及其严重程度常有很大差别。

【病理变化】

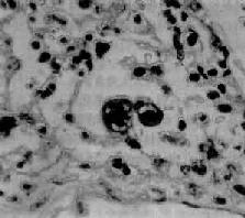
早期或轻型病毒性肺炎表现为间质性肺炎,炎症从支气管、细支气管开始,沿肺间质发展,支气管、细支气管壁及其周围、小叶间隔以及肺泡壁等肺间质充血、水肿,有一些淋巴细胞和单核细胞浸润,肺泡壁明显增宽(图9-20)。肺泡腔内一般无渗出物或仅有少量浆液。病变较重者,肺泡也可受累,出现由浆液、少量纤维蛋白、红细胞及巨噬细胞组成的炎性渗出物,甚至可发生组织坏死。有些病毒性肺炎(如流感病毒肺炎,麻疹病毒肺炎、腺病毒肺炎等)肺泡腔内渗出较明显,渗出物浓缩凝结成一层红染的膜样物贴附于肺泡内表面,即透明膜形成。支气管上皮的肺泡上皮也可增生,甚至形成多核巨细胞。麻疹病毒肺炎的病变特点为在间质性肺炎的基础上,肺泡壁上有透明膜形成,并有较多的多核巨细胞(巨细胞肺炎),在增生的上皮细胞和多核巨细胞的胞浆内和胞核内可检见病毒包含体。病毒包含体常呈球形,约红细胞大小,呈嗜酸性染色,均质或细颗粒状,其周围常有一清晰的透明晕。其他一些病毒性肺炎也可在增生的支气管上皮、支气管粘液腺上皮或肺泡上皮细胞内检见病毒包含体。如腺病毒肺炎可在增生的上皮细胞核内(图9-21),呼吸道合胞病毒肺炎可在增生的上皮细胞胞浆内,巨细胞病毒肺炎也可在增生的上皮细胞核内检见病毒包含体。检见包含体是病理组织学诊断病毒性肺炎的重要依据。

间质性肺炎

图9-20 间质性肺炎

肺泡壁及细支气管周围肺间质内有大量炎性细胞(主为单核细胞)浸润。肺泡壁明显增宽。肺泡腔内无渗出物

腺病毒肺炎

图9-21 腺病毒肺炎

图中央可见肿大肺泡上皮细胞中的核内包含体

有些混合感染,如麻疹病毒合并腺病毒感染,特别是又继发细菌感染的病毒性肺炎,病变更为严重,肺炎病灶可呈小叶性、节段性或大叶性分布。支气管和肺组织明显坏死、出血,并可混杂化脓性病变,从而掩盖了病毒性肺炎原来的病变特征。

(三)支原体肺炎

支原体肺炎(mycoplasmal pneumonia)是由肺炎支原体(mycoplasma pneumoniae)引起的一种间质性肺炎。支原体系介于细菌和病毒之间的微生物,共有30余种,其中多种可寄生于人体,但不致病,仅有肺炎支原体能引起呼吸道疾病。各种肺炎中约有5%~10%乃由肺炎支原体引起。主要经飞沫感染,秋、冬季节发病较多,儿童和青年发病率较高,通常为散发性,偶尔流行。患者起病较急,多有发热头痛、咽痛及剧烈咳嗽(常为干性呛咳)等症状。胸部检查,可闻干、湿啰音。X线检查,肺部呈段性分布的纹理增加及网织状阴影。白细胞计数有轻度升高,淋巴细胞和单核细胞增多,痰、鼻分泌物及咽喉拭子能培养出肺炎支原体。

【病理变化】

肺炎支原体感染可引起整个呼吸道的炎症。肺部病变常仅累及一个肺叶,以下叶多见。病变主要发生于肺间质,病灶呈段性分布,暗红色,切面可有少量红色泡沫状液体溢出。气管或支气管腔内也可见粘液性渗出物。胸膜光滑。镜下,病变区域肺泡间隔明显增宽,有大量淋巴细胞、浆细胞和单核细胞浸润,肺泡腔内无渗出物或仅有少量混有单核细胞的浆液性渗出液。小支气管和细支气管壁及其周围组织也常有炎性细胞浸润。重症病例,上皮亦可坏死脱落,往往伴有中性粒细胞浸润。支原体肺炎预后良好。死亡率在0.1%~1%之间。

上一页:一、慢性阻塞性肺病
当前页:二、肺炎
下一页:三、职业性肺疾病

返回目录