五、放线菌病《病理学》

五、放线菌病

放线菌病(actinomycosis)主要是以色列氏放线菌(actinomyces israeli)引起的一种慢性化脓性炎症。根据现代的生物学分类,放线菌不属于真菌而属于一种厌氧细菌。由于它所引起的病变与霉菌病相似,以及按照过去的习惯,通常仍将放线菌病与真菌病一起叙述。放线菌有细胞壁,其化学成分与细菌相似,没有核膜。菌体呈细丝状,与真菌相似,菌丝的粗细与普通杆菌相似,一般直径不超过1μm。菌丝分支,可断裂为杆状。放线菌的种类很多。在自然界分布极广,空气、土壤、水源中都有放线菌存在。少数菌株对人类有致病性,其中最主要的为以色列氏放线菌。以色列氏放线菌是人口腔正常菌群中的腐物寄生菌,在拨牙、外伤或其它原因引起口腔粘膜损伤时,放线菌可由伤口侵入。也可通过吞咽或吸入带菌物质进入胃肠或肺。因此放线菌病主要发生于颈面部和胸腹器官。

【病理变化】

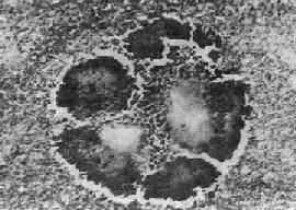
放线菌病和病变为慢性化脓性炎症。局部组织水肿,有大量中性粒细胞和单核细胞浸润,其间逐渐出现许多大小不等的坏死区,形成多数小脓肿,周围纤维组织增生。脓肿大小不等,常相互融合,并向邻近组织蔓延,形成许多窦道和瘘管。脓肿壁和窦道周围肉芽组织内有大量中性粒细胞、淋巴细胞和单核细胞浸润,有时并有少数多核巨细胞,部分可见大量吞噬脂类的巨噬细胞,因此肉眼观常带黄色。放线菌在脓肿壁、窦道壁和脓腔内繁殖,形成菌落。有时肉眼可见脓液内有细小的黄色颗粒,直径约1~2mm,称为“硫黄颗粒”。取硫黄颗粒直接压片或在组织切片中可见颗粒由分支的菌丝交织而成。在HE染色的组织切片中,颗粒中央部分染蓝紫色,周围部分菌丝排列成放线状,菌丝末端常有胶样物质组成的鞘包围而膨大呈棒状,染伊红色,所以称为放线菌(图18-36)。

放线菌病

图18-36 放线菌病

病灶中的“硫黄颗粒”,周围部分菌丝排列成放线状。菌丝末端膨大呈棒状

有时组织切片中菌丝不明显,可作革兰染色,放线菌菌丝体为革兰阳性,胶样鞘为革兰阴性,据此可确诊为放线菌病。

放线菌病常同时合并其他细菌感染。病变常迁延不愈。一处病变纤维化,附近可出现新的病灶,再形成脓肿。日久后可引起大量组织破坏和瘢痕形成。颈面部放线菌病最多见,约占放线菌病总数的一半。病原菌常在口腔粘膜损伤(如拨芽等)时侵入。病变多发生在颌骨附近。早期,牙龈及邻近软组织肿胀、质硬、表面皮肤暗红色,以后液化形成脓肿。病变向周围组织扩展,形成多数脓肿,彼此沟通形成窦道,并常穿破皮肤形成瘘管。病变并可侵犯颌骨引起骨膜炎和骨髓炎,严重者可进一步扩展到颅骨、脑膜及脑。

腹内放线菌病多发生于阑尾和结肠,在粘膜下层形成小脓肿。病变常穿透肠壁引起局限性腹膜炎,并可侵入邻近肠袢、腹膜后组织和腹壁,形成排脓的窦道。有时并可通过淋巴管或血道、或直接蔓延到肝引起多发性肝脓肿,进一步可引起膈下脓肿,最后可破入胸腔引起胸腔内感染。感染也可沿腰肌蔓延到肾周围组织和腰椎,并可引起腰肌脓肿。

胸内放线菌病因吸入放线菌引起,或由腹部放线菌病蔓延而来,常形成肺脓肿,逐渐扩散可形成肺胸膜瘘或脓胸。进一步可侵犯胸壁及肋骨,引起胸壁瘘管。有时可蔓延到心包引起化脓性心包炎。

上一页:四、毛霉菌病
当前页:五、放线菌病
下一页:第一节 阿米巴病

返回目录