六、轻微病变性肾小球肾炎(脂性肾病)《病理学》

六、轻微病变性肾小球肾炎(脂性肾病)

轻微病变性肾小球肾炎(minimal change glomerulonephrits)的病变特点是在光学显微镜下肾小球无明显变化或病变轻微,故名。由于本病肾小管上皮细胞内常有大量脂质沉积,故又称为脂性肾病(lipoid nephrosis)。临床上常表现为肾病综合征。脂性肾病多见于小儿,成人患者较少,是引起小儿肾病综合征最常见的原因。在小儿肾病综合征中约65%~85%由脂性肾病引起。成人肾病综合征由脂性肾病引起者约占10%~30%。脂性肾病病变可完全恢复,对皮质激素治疗效果很好。

轻微病变性肾炎与其他类型肾炎不同,电镜观察未找到沉积物,免疫荧光检查也未发现肾小球内有免疫球蛋白或补体。其病因和发病机制尚不清楚。有些现象如有些病人在呼吸道感染后发病,或同时伴有其他过敏性疾病,如过敏性鼻炎和湿疹等,提示可能与免疫机制有关。Hodgkin病患者轻微病变性肾炎发病率较高,而已知Hodgkin病患者常有T细胞功能缺陷,故有人认为这种肾炎的发病可能与T细胞功能异常有关。近来有学者提出,肾小球多聚阴离子减少可能是造成本病肾小球毛细血管上皮细胞变化和大量蛋白尿的原因。

【病理变化】

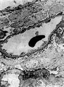
光学显微镜下,肾小球无明显变化或仅有轻度节段性系膜增生。电镜下见弥漫性肾小球脏层上皮细胞足突消失(图12-20),细胞内高尔基器和内质网增多,并可见脂滴。细胞表面常有多数微绒毛形成。足突消失不仅见于脂性肾病,也常见于其他原因引起的大量蛋白尿和肾病综合征。经过治疗或蛋白尿等症状缓解后,脏层上皮细胞的变化可恢复正常。

轻微病变性肾小球肾炎

图12-20 轻微病变性肾小球肾炎

电镜下见肾小球毛细血管上皮细胞部分足突消失

肾小管上皮细胞内有多数玻璃样小滴和脂类沉积,是由于肾小球毛细血管通透性增加,大量脂蛋白通过肾小球滤出,而在肾小管被重吸收所致。肾小管腔内可有透明管型。这些变化常与蛋白尿的程度平行。

肉眼观,肾肿胀,体积较大,色苍白。由于大量脂类沉着,切面可见黄色条纹。

【临床病理联系】

脂性肾病病人临床上大多表现为肾病综合征,有大量蛋白尿和严重水肿,与膜性肾小球肾炎不同的是,蛋白尿为高度选择性,主要含小分子蛋白,如白蛋白。肾小球的病变轻微,故一般无血尿和高血压,肾功能也不受影响。

【结局】

大多数病人对皮质激素治疗效果很好,90%以上儿童可以完全恢复,病变在数周内消失。成人预后也很好。少数病人可有反复,一般不发展成慢性。

上一页:五、弥漫性膜性肾小球肾炎
当前页:六、轻微病变性肾小球肾炎(脂性肾病)
下一页:七、局灶性节段性肾小球硬化

返回目录